Yestar艺星整形
 
 
众所周知,牙齿的美观与否会影响一个人的整体形象,凡是龅牙突出、牙缝过大、牙齿乱飞、牙列不齐、牙齿缺失或各种色素牙……这些人见人怕的丑牙类型,会使您的形象大打折扣,甚至会成为阻碍您人际交往的主要元凶,让您无法绽放美丽笑容!
现在,您是否饱受牙齿问题的困扰? 在线咨询
超级龅牙,人生黯然   牙齿拥挤,自信缺失   色素牙,气质欠佳   牙列不齐,卡菜卡肉  牙齿缺失,搞笑谐星
美丽笑容 从Yestar艺星开始 在线咨询
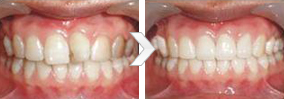
    每个人都想有一口洁白漂亮牙齿,但是并非每个人都能真正拥有漂亮牙齿。其实牙齿美容方法很多,Yestar艺星经典牙齿美容修复方法有烤瓷牙、美容冠、瓷贴面。Yestar艺星牙齿美容修复矫正、美白、修复一步到位,让您绽放自信笑容!
    Yestar艺星集齿科行业高标准、精准操作、微米尺度设计,融个性化美齿需求,舒适逼真修复龅牙突出、牙缝过大、牙齿乱飞、牙列不齐、牙齿缺失、各种色素牙等各种牙齿问题,让牙齿、唇形、脸型一起变美!
Yestar艺星美牙 5项金标准 在线咨询
Yestar艺星美牙 专业技术护航 在线咨询
Yestar艺星的全国连锁品牌,自成立以来已有多年的专业经验,现在已经发展成为*大的医学美容集团。Yestar艺星会根据每位求美者体态特征,设计个性化方案,医生团队通过专业的医学手段为你量身打造属于你自己的美丽笑容。
  • 医生会根据求美者自身牙齿的情况,定制出一套且更适合个人的个性化牙齿美容修复方案,更有针对性,修复效果更理想。
  • 采用先进无尘、无菌、恒温、恒湿、恒压的标准层流净化系统,为手术提供了强有力的支持和保障,可与 整形医院相媲美。
  • Yestar艺星牙齿美容的标准是:无齿病、整齐、洁白、无牙周病、口中无异味、能正常进行咀嚼功能,把牙齿美容和牙齿保健融为一体。
  • 专业护士坚持一套完整的系统陪护方案,亦坚持从前后对求美者全程心理疏导,陪伴顾客每一天美一点,与求美者一起见证美丽的蜕变。
Yestar艺星美牙 一站式服务 在线咨询
Yestar艺星 齿科美容 医生助阵 在线咨询
  • 马晓蓬

    上海艺星整形美容美容牙科主诊医师;口腔医生中华口腔医学会会员;第四军医大学口腔医学系硕士;原联合...【详情】

    擅长项目:
    口腔美容修复、各类固定活动义齿修复、颌面部外科手术、种植牙

    咨询医生 >
  • 张鸣

    上海艺星整形美容美容牙科主诊医师;口腔医生;中华口腔医学学会会员;AIC种植牙协会会员;第二军...【详情】

    擅长项目:
    种植牙、口腔美容修复、 口腔颌面外科

    咨询医生 >
Yestar艺星美牙 相关资讯 在线咨询